Mặt dán sứ Veneer – Phục hình răng đẹp hoàn hảo, bảo tồn răng thật tối đa

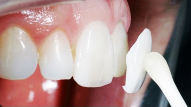
Răng sứ Veneer là mặt dán sứ bọc dùng để bọc bên ngoài bề mặt răng nhằm che lấp các khuyết điểm khi răng bị tổn thương cấu trúc hoặc xỉn màu, ố vàng và đem đến cho khách hàng một hàm răng đều, đẹp, trắng sáng bền vững theo thời gian.

Dán sứ Veneer tại Nha Khoa Hoàng Gia BH, khách hàng sẽ sở hữu hàm răng đều, nụ cười rạng rỡ nhờ kỹ thuật khéo léo của bác sĩ và nhờ sứ đẹp tự nhiên, bền từ nhà máy sản xuất răng sứ lớn nhất Việt Nam của chính hệ thống đầu tư cũng như công nghệ nha khoa số hóa

———————————————————————————————

Vì sao mặt dán sứ Veneer được nhiều người yêu thích?

Mặt dán sứ Veneer là một lớp răng sứ mỏng cứng chắc, có màu sắc trắng đẹp tự nhiên. Để phục hình, mặt dán sứ Veneer sẽ được gắn lên mặt trước của răng giúp che đi các khuyết điểm về mặt thẩm mỹ, mặt dán sứ Veneer được áp dụng cho các trường hợp như:

  • Răng bị ố vàng, xỉn màu do nhiễm thuốc kháng sinh
  • Răng mọc thưa, lệch lạc
  • Răng ngắn, kích thước các răng không đều
  • Răng bị bể, mẻ, vỡ
  • Răng bị mòn men

———————————————————————————————

Ưu điểm vượt trội của mặt dán sứ Veneer

Với việc khắc phục những nhược điểm của các phương pháp bọc răng sứ truyền thống, kể cả quá trình thực hiện, tính thẩm mỹ, độ bền đẹp, linh hoạt, mức độ mài răng….lắp mặt dán sứ Veneer đang là xu hướng thẩm mỹ răng đang được rất nhiều người yêu thích. Dưới đây là những lợi ích nổi bật của mặt dán sứ Veneer:

Phục hình răng đẹp như thật

Răng toàn sứ Veneer 3D được chế tạo từ khối sứ nguyên chất trên công nghệ CAD / CAM 3D, có màu trắng, độ trong, bóng và độ “gợn” tự nhiên tương tự ngà răng. Đây là ưu điểm tuyệt vời của mặt dán sứ Veneer 3D mà chưa có loại răng sứ nào hiện nay có thể vượt qua được, mang đến hàm răng đẹp, sống động, tự nhiên hơn cả răng thật.

Giải quyết hiệu quả răng xấu

Với thiết kế đặc biệt, mặt dán sứ Veneer 3D rất thích hợp với răng cửa, có thể khắc phục một cách hiệu quả những khiếm khuyết của răng xấu như: Răng ố vàng, xỉn màu, nhiễm kháng sinh, mòn men răng, sứt mẻ, lệch, vẹo, các răng không đều nhau về chiều dài, bề ngang hoặc bản thân mỗi răng lại không cân đối…

 

Hạn chế mài răng tối đa

Không chỉ chiếm trọn sự tin yêu của đông đảo khách hàng và bác sĩ chuyên khoa bởi hiệu quả, tính thẩm mỹ, mà mặt dán sứ Veneer 3D còn được đánh giá cao về việc hạn chế mài răng tối đa.  Khi lắp mặt dán răng sứ Veneer 3D bạn chỉ phải thực hiện mài một phần men răng ở mặt trước của răng và tỷ lệ mài rất ít, khoảng 1/3 so với làm răng thông thường, giúp bảo tồn răng thật tối đa, không cần phải lấy tủy, răng không bị ê buốt khó chịu.

Độ bền cao

Mặt dán sứ Veneer 3D có tuổi thọ cao hơn các loại răng sứ khác trung bình từ 10 – 15 năm và nếu được phục hình bởi đội ngũ bác sĩ giỏi, chăm sóc đúng cách thì có thể duy trì lâu hơn. Cùng với đó, chất liệu kết dính đặc biệt, không dễ bị hóa lỏng nên mặt dán sứ Veneer 3D bám chắc khá tốt trên thân răng, đảm bảo sau khi phục hình răng không bị kênh hở, không dễ bị bong hay bật khi nhai gắn, chải răng.

Thoải mái ăn nhai

Do mặt dán răng sứ Veneer 3D khá mỏng (khoảng 0,5 – 0,6 mm), vì vậy trong quá trình ăn nhai bạn hoàn toàn không cảm thấy vướng víu, cộm cấn hay khó chịu. Ngoài ra, bởi được chế tạo từ các khối sứ nguyên chất Lithium Desilicate hay Zirconium, nó có thể chịu được áp lực nhai cắn của răng cửa lớn, giúp người dùng thoải mái thưởng thức những món ăn yêu thích.

 

———————————————————————————————

NHA KHOA HOÀNG GIA BH

TRUNG TÂM CHĂM SÓC RĂNG MIỆNG HÀNG ĐẦU

ĐC: Số 215 đường Phạm Văn Thuận, KP2, P.Tân Tiến, Biên Hòa, Đồng Nai  

 ĐT: 02518 616 016  –  0792 616 016